手术解析
1.宫腔镜下剖宫产术后子宫瘢痕憩室修补术手术步骤分两部分:
1)切除阻碍经血排出的憩室下缘组织,使经血不再积聚在憩室内。由于憩室紧邻膀胱,电切时易损伤膀胱,特别是较深的憩室,紧邻膀胱的憩室底部肌层薄,宫腔镜下难以看到其底部,为避免损伤膀胱,在电切时先切除憩室下缘两侧的组织,使憩室两侧的底部可见,再顺着底部往中间切,最后切除紧邻膀胱的憩室下缘。
2)电凝破坏憩室内的内膜、局部增生迂曲的血管。可使用球状电极,本视频中使用粗的环状电极电凝破坏憩室内的内膜及血管,亦可以达到同样的效果。
2.在电切及电凝操作过程中,双手要稳定地控制电切镜,防止切入过深损伤膀胱及子宫动脉,或创面不平整形成新的腔隙。要注意能量器械对膀胱的热损伤,特别在电凝破坏憩室的内膜时。
3.宫腔镜子宫瘢痕憩室修补术的优点是手术创伤小、术后恢复快。但对于有生育要求的患者应谨慎选择,如再妊娠有宫颈机能不全及子宫破裂的风险。如子宫肌层小于3mm,不推荐宫腔镜手术。
4.手术可在超声引导下进行。
病史简介
患者曾女士,41岁。
主诉:
月经经期延长6+年。
现病史:
患者于2015年无明显诱因出现月经经期延长,由原来的4-5天延长至10天,经期前5天量同以往月经,之后经量少,为褐色,月经周期尚正常。无腹痛、腹胀,无头晕、乏力等不适。曾口服短效避孕药治疗三周期,服药期间月经正常,但停药后又出现经期延长。
既往史:
体健。2009年、2014年行剖宫产术。
月经史:
11岁4-5天/28-30天,2021年08月08日,量正常,无痛经。
婚育史:
27岁结婚,孕5产2人流3。配偶及子女均体健。
妇科检查:
外阴已婚型,阴道畅,阴道内可见少许白色分泌物,宫颈光滑,无抬举痛,子宫前位,正常大小,质中,无压痛,活动度可,双附件未扪及明显异常。
辅助检查:
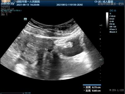
超声(2021-8-13):子宫前壁下段肌层内可见一大小约7.5mm*6.6mm的液暗区声像,考虑切口假腔;该处子宫肌层厚约3.2mm。

诊断:
1.异常子宫出血:剖宫产术后子宫瘢痕憩室。
2.瘢痕子宫。
手术及随访:
手术方式:在静脉麻醉下行宫腔镜检查+子宫瘢痕憩室修补术+诊断性刮宫术。
手术日期:2021-08-20
术后病检诊断:增生期样子宫内膜。
随访:随访至今,患者术后经期5-6天,经量及月经周期正常。
术者简介

徐春焕
邵阳学院附属第一医院妇科副主任,副主任医师
主攻盆底、宫内疾病诊治及女性生殖整形。擅长宫腹腔镜、盆底及生殖整形手术。率先在邵阳地区开展宫腔镜子宫黏膜下肌瘤电切术、子宫内膜射频消融术,宫腔镜剖宫产瘢痕憩室修补、重度宫腔粘连松解术、子宫纵隔切除术、无处女膜损伤的宫腔镜手术及骶棘韧带固定术、经阴道网片置入等盆底重建手术。
《宫腔镜电切术在黏膜下子宫肌瘤治疗中的应用》2016获邵阳市科技进步二等奖。主持的《U形骶棘韧带固定术治疗盆腔器官脱垂的疗效分析》立项于湖南省科技厅创新计划项目。参与科研项目7项。《一种盆底重建手术的指环套线器》《一种盆底重建手术的穿刺器》《一种防掉线的指环套线器》获实用新型专利。
责编:清欢
审核:马野
